Image Question-23
What is the diagnosis of Image?
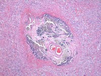
Bhatt S, Simon R, Dogra VS., CC BY 3.0 https://creativecommons.org/licenses/by/3.0, via Wikimedia Commons
What is the diagnosis of histopathological slide?
A. Fessas body
B. Gamna-Gandy body
C. Lafora body
D. Mallory body
Gamna-Gandy bodies
| Gamna-Gandy bodies | ||
| Other names | Tobacco flecks or Siderotic nodules | |
| Appearance | Yellow-brownish and spheroidal foci within the splenic parenchyma | |
| Composition | Deposits of iron pigments and calcium salts | |
| Associated with | Granulomatous inflammatory reactions with multinucleated foreign-body giant cells | |
| Common Conditions | Portal hypertension , Sickle cell disease | |
What are Fessas bodies?
Fessas bodies – intracellular inclusion bodies in peripheral blood smears of patients with thalassemias.
Neoplastic Diseases may have Gamna-Gandy bodies
- Thymoma
- Thyroid Follicular Adenoma
- Pituitary Adenoma
- CNS Neoplasms
- Hairy Cell Leukemia
- Hodgkin and non-Hodgkin Lymphoma
- Cardiac Myxomas
- Angiosarcoma
- Ovary Carcinoma
- Liver Carcinoma
- Renal Cell Carcinoma
- Breast Cancer
- Gastric Neurinoma
Non-neoplastic Diseases
- Portal Hypertension
- Thrombotic Thrombocytopenic Purpura
Idiopathic Thrombocytopenic Purpura - Hemolytic Anemia
- Paroxysmal Nocturnal Hemoglobinuria
- Acquired Hemochromatosis
- Congestive Splenomegaly
- Retroperitoneal Lymph Nodes
Splenic Gandy-Gamna body
Splenic Gandy-Gamna body
Author: Megan Parilla, MD
American Society of Hematology
Splenic Gandy-Gamna body
American Society of Hematology
Splenic Gandy-Gamna body


