Image Question-37
What is the diagnosis of the cell shown in Image?
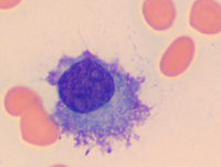
Image Question
What is the diagnosis of the Cell in the Image?
Author: Girish Venkataraman, MD, MBBS
American Society of Hematology
A. M-Cell
B. Cart Wheel cell
C. Flame cell
D. Mott Cell
Wright-Giemsa stain
Flame cells are atypical plasma cells with irregular cytoplasmic projections that stain bright purple-red with Wright-Giemsa stain.
IgA myeloma
They are usually associated with IgA myeloma
Other conditions
May be seen in other conditions-
- Non-IgA myelomas
- MGUS
- Reactive plasmacytosis
What is the cause of characteristic staining of ‘flame cell’?
The characteristic staining – related to the high carbohydrate content of IgA molecules.


